Instituto Roche Instituto Roche Instituto Roche
  • Regístrate
  • Iniciar sesión
  • Inicio
  • La Fundación
    • Contacto
    • Carta presentación
    • Organización
    • Misión y valores
    • Estatutos
    • Transparencia
    • Memoria de actividades
    • Cuentas anuales
  • Actividades

    Próximas actividades

    • 21 Jornada Internacional sobre investigación Traslacional y Medicina Personalizada de Precisión

    Actividades anteriores

    • VIII Jornada Anticipando la Medicina del Futuro
    • “Medicina Personalizada de Precisión: ¿Medicina del Presente o del Futuro?”
    • Curso para Universitarios. Medicina Personalizada de Precisión.De la Teoría a la Práctica.
    • Jornada Aproximación coordinada en Medicina Personalizada de Precisión entre Comunidades Autónomas

    Observatorio

    • Observatorio de Tendencias en la Medicina del Futuro
    • #FIRmásallá

    Cátedra

    • Cátedra de Medicina Personalizada de Precisión
    • Actividades

    Otras actividades de interés

    • Listado de actividades
  • Formación

    Cursos

    • Curso online La farmacogenómica en la prescripción: Una responsabilidad del médico
    • Curso de Cáncer Hereditario, 13ª Edición
    • Curso de Cáncer Hereditario, 12ª Edición
  • Recursos

    Publicaciones

    • Informes anticipando
    • Hablando sobre
    • Más publicaciones

    Medicina Personalizada de Precisión

    • Noticias
    • Glosario de genética
    • Enciclopedia de bioderecho y bioética

    Podcast

    • Anticipando la medicina del futuro

    Enlaces

    • Enlaces de interés
  • Prensa
    • Entrevistas
    • Notas de prensa
    • Premio de periodismo
  • Premios y becas
    • Premio de periodismo
    • VII Convocatoria de ayudas a la formación en el área de Ciencia de Datos en Medicina Personalizada de Precisión
    • Premio de investigación Consejo Social UCM- Fundación Instituto Roche

Novedades de recursos

  • Publicaciones
  • Noticias
  • Glosario
  • Podcast
  • Enlaces de interés
Desarrollan nuevas vacunas contra el virus del Ébola
  • 3 de mayo de 2018
  • Noticias

Desarrollan nuevas vacunas contra el virus del Ébola

El zinc podría modular la virulencia de la bacteria Escherichia coli
  • 26 de abril de 2018
  • Noticias

El zinc podría modular la virulencia de la bacteria Escherichia coli

Identifican una nueva forma de ADN en las células: i-motif
  • 25 de abril de 2018
  • Noticias

Identifican una nueva forma de ADN en las células: i-motif

La deficiencia en la proteína DOR podría favorecer la aparición de obesidad
  • 24 de abril de 2018
  • Noticias

La deficiencia en la proteína DOR podría favorecer la aparición de obesidad

Desarrollan un tatuaje biomédico celular que podría detectar la hipercalcemia asociada con algunas patologías
  • 23 de abril de 2018
  • Noticias

Desarrollan un tatuaje biomédico celular que podría detectar la hipercalcemia asociada con algunas patologías

La falta de Opa1 podría generar inflamación severa
  • 19 de abril de 2018
  • Noticias

La falta de Opa1 podría generar inflamación severa

Fabrican un nanomotor con ADN
  • 18 de abril de 2018
  • Noticias

Fabrican un nanomotor con ADN

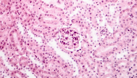
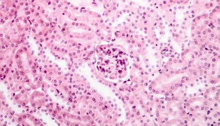
Describen como LAT2/CD98hc y TAT1 podrían tener una implicación en la reabsorción renal
  • 17 de abril de 2018
  • Noticias

Describen como LAT2/CD98hc y TAT1 podrían tener una implicación en la reabsorción renal

El CSIC desvela cómo se desencadena la resistencia a los antibióticos en una bacteria agresiva en hospitales
  • 16 de abril de 2018
  • Noticias

El CSIC desvela cómo se desencadena la resistencia a los antibióticos en una bacteria agresiva en hospitales

Se identifica un nuevo gen que podría estar vinculado a la ELA
  • 12 de abril de 2018
  • Noticias

Se identifica un nuevo gen que podría estar vinculado a la ELA

  • Anterior
  • 10
  • 11
  • 12
  • 13
  • 14
  • Siguiente

Regístrate y accede a:

Inscripciones a Jornadas

Certificados de asistencia

Regístrate

Podcast

Podcast Anticipando la Medicina del Futuro Podcast Anticipando la Medicina del Futuro

Enciclopedia de bioderecho y bioética

Enciclopedia de bioderecho y bioética

Compartir

Miembro del Consejo de Fundaciones
Colaborador
Fundación miembro de la Asociación Española de Fundaciones
FECYT
Madrid Excelente
AEF
  • Inicio
  • Instituto Roche
  • Actividades
  • Formación
  • Medicina personalizada de precisión
  • Prensa
2025 © Instituto Roche.    Aviso Legal | Política de Privacidad | Política de Cookies Contactar