Instituto Roche Instituto Roche Instituto Roche
  • Regístrate
  • Iniciar sesión
  • Inicio
  • La Fundación
    • Contacto
    • Carta presentación
    • Organización
    • Misión y valores
    • Estatutos
    • Transparencia
    • Memoria de actividades
    • Cuentas anuales
  • Actividades

    Próximas actividades

    • 21 Jornada Internacional sobre investigación Traslacional y Medicina Personalizada de Precisión

    Actividades anteriores

    • VIII Jornada Anticipando la Medicina del Futuro
    • “Medicina Personalizada de Precisión: ¿Medicina del Presente o del Futuro?”
    • Curso para Universitarios. Medicina Personalizada de Precisión.De la Teoría a la Práctica.
    • Jornada Aproximación coordinada en Medicina Personalizada de Precisión entre Comunidades Autónomas

    Observatorio

    • Observatorio de Tendencias en la Medicina del Futuro
    • #FIRmásallá

    Cátedra

    • Cátedra de Medicina Personalizada de Precisión
    • Actividades

    Otras actividades de interés

    • Listado de actividades
  • Formación

    Cursos

    • Curso online La farmacogenómica en la prescripción: Una responsabilidad del médico
    • Curso de Cáncer Hereditario, 13ª Edición
    • Curso de Cáncer Hereditario, 12ª Edición
  • Recursos

    Publicaciones

    • Informes anticipando
    • Hablando sobre
    • Más publicaciones

    Medicina Personalizada de Precisión

    • Noticias
    • Glosario de genética
    • Enciclopedia de bioderecho y bioética

    Podcast

    • Anticipando la medicina del futuro

    Enlaces

    • Enlaces de interés
  • Prensa
    • Entrevistas
    • Notas de prensa
    • Premio de periodismo
  • Premios y becas
    • Premio de periodismo
    • VII Convocatoria de ayudas a la formación en el área de Ciencia de Datos en Medicina Personalizada de Precisión
    • Premio de investigación Consejo Social UCM- Fundación Instituto Roche

Novedades de recursos

  • Publicaciones
  • Noticias
  • Glosario
  • Podcast
  • Enlaces de interés
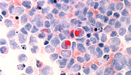
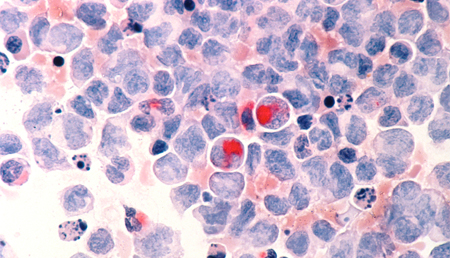
Un nuevo test genético permitirá diagnosticar leucemias de células B que hasta ahora no se podían clasificar
  • 3 de julio de 2017
  • Noticias

Un nuevo test genético permitirá diagnosticar leucemias de células B que hasta ahora no se podían clasificar

Una proteína asociada al Parkinson, podría estar relacionada con infecciones del tracto gastrointestinal superior humano
  • 29 de junio de 2017
  • Noticias

Una proteína asociada al Parkinson, podría estar relacionada con infecciones del tracto gastrointestinal superior humano

Demuestran el posible papel que ejerce la proteína IKKbeta en el cáncer de piel
  • 28 de junio de 2017
  • Noticias

Demuestran el posible papel que ejerce la proteína IKKbeta en el cáncer de piel

Identificado un nuevo mecanismo de actuación de la proteína LOXL2 en la progresión tumoral
  • 27 de junio de 2017
  • Noticias

Identificado un nuevo mecanismo de actuación de la proteína LOXL2 en la progresión tumoral

La gran capacidad proliferativa de las células cancerígenas puede ser su perdición
  • 26 de junio de 2017
  • Noticias

La gran capacidad proliferativa de las células cancerígenas puede ser su perdición

La exposición a la infección promueve el desarrollo de la leucemia infantil de células B.
  • 22 de junio de 2017
  • Noticias

La exposición a la infección promueve el desarrollo de la leucemia infantil de células B.

Descubren el funcionamiento de un complejo de proteínas implicadas en casos de cáncer y enfermedades raras
  • 21 de junio de 2017
  • Noticias

Descubren el funcionamiento de un complejo de proteínas implicadas en casos de cáncer y enfermedades raras

Investigadores españoles describen dos biomarcadores que identifican el riesgo de osteoporosis
  • 20 de junio de 2017
  • Noticias

Investigadores españoles describen dos biomarcadores que identifican el riesgo de osteoporosis

Señalan una nueva diana terapéutica que podría prevenir infartos en pacientes sanos
  • 19 de junio de 2017
  • Noticias

Señalan una nueva diana terapéutica que podría prevenir infartos en pacientes sanos

Investigadores de la US descubren que hay células madre neurales que podrían convertirse en vasos sanguíneos
  • 16 de junio de 2017
  • Noticias

Investigadores de la US descubren que hay células madre neurales que podrían convertirse en vasos sanguíneos

  • Anterior
  • 23
  • 24
  • 25
  • 26
  • 27
  • Siguiente

Regístrate y accede a:

Inscripciones a Jornadas

Certificados de asistencia

Regístrate

Podcast

Podcast Anticipando la Medicina del Futuro Podcast Anticipando la Medicina del Futuro

Enciclopedia de bioderecho y bioética

Enciclopedia de bioderecho y bioética

Compartir

Miembro del Consejo de Fundaciones
Colaborador
Fundación miembro de la Asociación Española de Fundaciones
FECYT
Madrid Excelente
AEF
  • Inicio
  • Instituto Roche
  • Actividades
  • Formación
  • Medicina personalizada de precisión
  • Prensa
2025 © Instituto Roche.    Aviso Legal | Política de Privacidad | Política de Cookies Contactar